Delhi
+918750005633
+919625440750

Hip Replacement Surgery Delhi | Fast Recovery with Dr. Aman Dua

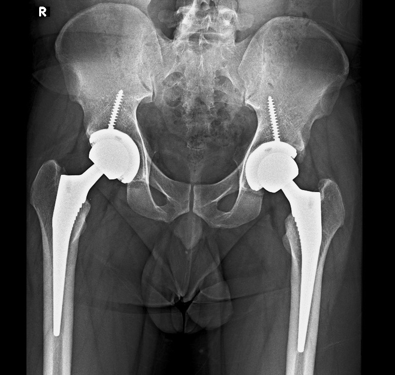
Hip Replacement Surgery: Reclaim Your Stride Without the Grind Woke up dreading stairs because your hip screams with every step? Or maybe gardening, golfing, or just walking the dog feels impossible thanks to arthritis or a bad fall. You're not alone—millions battle hip pain that pills and PT can't fix. Enter hip replacement surgery: a proven fix swapping your worn-out joint for smooth artificial parts, getting 95% of patients back to daily joys pain-free. At Fast Track Knee Replacement—led by expert Dr. Aman Dua—we deliver fast-track hip recoveries tailored for active Indians. Think of your hip as a ball-and-socket marvel: the femur's 'ball' glides in the pelvis socket, cushioned by cartilage. Osteoarthritis, fractures, or avascular necrosis erode that padding, causing bone-on-bone agony, stiffness, and limping. When lifestyle tweaks fail, total hip arthroplasty (THA) steps up. It's gold-standard, with implants lasting 15-25 years. Prep is straightforward: X-rays, bloodwork, and a surgeon chat confirm you're ready (most candidates over 50, but fit younger folks qualify). Dr. Dua favors minimally invasive anterior or posterior approaches—smaller cuts mean less muscle trauma and quicker bounces back. Under general or spinal anesthesia (1-2 hours), the surgeon: Incises over the hip (4-6 inches). Removes damaged head and socket. Fits a titanium stem into the femur, topped with a ceramic/metal ball. Secures a durable plastic/ceramic liner in the reamed socket. Tests motion, closes up. Modern perks? Robotic precision for perfect alignment, reducing wear. Post-op, you're in recovery monitoring vitals, then same-day or next-day discharge for qualifying patients. Recovery's a team sport. Days 1-3: Walk with a walker, pain meds, and ice. By week 2, ditch aids; PT builds strength. Avoid hip-twisting precautions (like crossing legs) for 6 weeks to prevent dislocation (rare, <2%). Full return to driving (4-6 weeks), desk work (2 weeks), or sports (3-6 months). Success? 90-95% report dramatic relief; complications like infection (<1%) or clots are managed proactively. Patient win: Raj, 58, Delhi exec, ditched his cane post-THA: 'Back to morning walks at Lodhi Gardens—no pain!' Outcomes shine with Dr. Dua's protocol: enhanced rehab, blood conservation, and follow-ups. Book Your Path to Pain-Free Hips Today! Consult Dr. Aman Dua at Fortis Escorts Hospital, Okhla Road, Near Sukhdev Vihar Metro Station, Delhi 110025. Call/WhatsApp: +91 87500 05633. Email: cjd.clinic@gmail.com. Clinic: Mon-Sat 9:30 AM–4 PM. Video consults available. Easy Online Booking: www.fasttrackkneereplacement.com—slots fill fast!
 2026-03-14T05:04:40

Keywords

footerhc